

Synaptic Systems(品牌简称SYSY)作为全球神经科学抗体领域的标杆企业,自1997年创立以来始终以"为前沿科学提供最可信赖的抗体产品"为核心使命。源于德国马克斯·普朗克研究所(Max-Planck Institute G?ttingen)的学术基因,SYSY专注于为神经科学、细胞生物学及组织病理学研究提供全系列、高验证、超稳定的抗体解决方案。
同NanoTag Biotechnologies为姊妹公司,引入骆驼单域抗体(sdAb)技术,推出FluoTag系列荧光标记纳米抗体,填补超分辨率成像领域的技术空白。
推出HistoSure产品线,专门针对福尔马林固定石蜡包埋(FFPE)组织样本优化,拓展临床病理学研究应用。
SYSY的产品线基于"从突触功能到细胞机制"的研究逻辑形成有机整体:经典抗体奠定研究基础,FluoTag纳米抗体突破成像极限,HistoSure打通临床转化,特色试剂盒支撑功能验证。
作为神经科学抗体的"百科全书",SYSY提供业内最全面的神经相关蛋白等抗体集合,覆盖:
研究靶点 | 代表产品 | 应用场景 |
突触前/后蛋白 | Synapsin 1、PSD95、Synaptotagmin 1 | 突触可塑性、神经递质释放机制 |
神经元类型标记 | 抗Parvalbumin、抗NeuN、抗GFAP | 神经元分类、胶质细胞鉴定 |
神经退行性疾病 | Abeta系列(pE3、pE11、38/40/42/43)、α-Synuclein | 阿尔茨海默病、帕金森病病理研究 |
离子通道与受体 | GABA受体、NMDA受体、AMPA受体亚基 | 神经信号传导、突触传递 |
细胞骨架与运输 | MAP2、Tau、β-Tubulin III | 神经元形态学、轴突导向 |
技术亮点:
全自主研发生产:所有抗体均在德国总部实验室生产,杜绝OEM质量波动
多应用验证:每支抗体均验证WB、ICC、IHC、IHC-P、IP、ELISA等应用
高影响力背书:众多产品已成为领域"参考标准",被数千篇顶刊引用
基于骆驼单域抗体(sdAb,又称纳米抗体)技术,FluoTag?系列代表了免疫荧光染色的下一代标准:
技术原理优势:
极小尺寸(~15kDa vs 传统抗体150kDa):组织穿透力提升10倍,轻松进入致密神经组织;
一步法标记:直接偶联荧光团,省去二抗孵育,实验时间缩短50%;
定量精准:X2/X4变体精确控制荧光团数量(每个抗体2个或4个荧光团),定量共定位相关性>0.95;
多重标记无忧:物种交叉反应极低,支持多靶点同时标记;
产品线 | 技术特点 | 典型应用 |
FluoTag-X2 | 双荧光团偶联,高亮度 | 常规Confocal成像、流式细胞术 |
FluoTag-X4 | 四荧光团偶联,超亮信号 | 低丰度蛋白检测、STED超分辨成像 |
FluoTag-Q | 单荧光团定量版本 | 定量FRET、蛋白互作分析 |
Smart Secondaries | 种属特异性二抗替代 | 多重免疫标记(同时标记4+靶点) |
经典文献案例: 在《Nature Neuroscience》《Nature Communications》等期刊中,FluoTag被广泛应用于:
活细胞突触囊泡动态追踪(Synaptotagmin 1标记)
超分辨率STED成像(Event-triggered STED技术)
脑片多色免疫标记(同时标记神经元、胶质细胞、突触)
针对临床病理样本的特殊需求,HistoSure系列提供:
抗原修复优化:针对福尔马林交联的表位修复专项验证
人/小鼠/异种移植全覆盖:支持肿瘤微环境、免疫治疗研究
严格质控标准:遵循HistoSure Quality Guidelines,批次稳定性CV<5%
以阿尔茨海默病(AD)机制研究为例,展示SYSY产品如何支撑完整研究链条:
1. 病理样本初筛(IHC-P) 使用HistoSure抗Abeta-pE3抗体检测FFPE脑切片中的焦谷氨酸化Abeta沉积,区分成熟斑块与弥散性沉积。
2. 细胞模型验证(ICC) 使用FluoTag-X2抗PSD95进行超分辨成像,观察突触后致密区在Abeta毒性下的结构变化。
3. 分子机制解析(WB/IP) 使用Synaptotagmin 1抗体进行免疫共沉淀,捕获突触囊泡释放复合物,结合质谱分析相互作用蛋白。
4. 活细胞动态追踪(Live Imaging) 使用mCLING膜探针标记突触前膜,实时观察Abeta处理后的囊泡回收动力学。
5. 功能验证(化学工具) 使用光控钙螯合剂精确控制神经元激活,验证Abeta对钙依赖性突触可塑性的影响。
![]() | ![]() |
德国制造,学术传承
源于马克斯·普朗克研究所的学术血统,28年专注神经科学,不是"万能抗体库",而是"突触专家"。
全自主可控
从抗原设计、动物免疫、杂交瘤筛选到纯化验证,全流程在德国总部完成,拒绝OEM代工,确保批次间一致性。
验证即承诺
每支抗体均提供详细应用数据:Western Blot推荐稀释度、IHC抗原修复条件、ICC固定方案——不是"可能有效",而是"按此操作必有效"。
技术前瞻性
从传统单抗到重组单抗,从化学染料到纳米抗体FluoTag,持续引入颠覆性技术,支撑超分辨率显微镜、活体成像等前沿方法。
引用即信任
全球数千篇文献引用,其中众多产品已成为方法学论文的"标准试剂"(如抗Synapsin 1、抗PSD95),选择SYSY即选择与全球顶尖实验室同步。
Synaptic Systems——当您的研究涉及突触、神经元、神经环路,SYSY不仅是试剂供应商,更是您值得信赖的科学伙伴。
作为Synaptic Systems在中国的区域代理,艾美捷科技有限公司将为中国客户提供全面的Synaptic Systems以及客户订制化服务。欢迎大家随时联系我们。

上一篇:Cell Biolabs
下一篇:Lumiprobe
该产品在免疫组化(IHC)等其他实验方法中也表现出良好的性能,为多维度、多层次的实验设计提供了灵活性。
Synaptic Systems 提供了针对不同 NF 物种的广泛物种面板的多克隆和单克隆抗体,涵盖了上述提到的大部分应用。
最近发表的数据表明,EAAT5(谷氨酸/天冬氨酸转运蛋白5)是EAAT家族中视网膜特异性的成员,它不仅作为谷氨酸的转运蛋白,还在视锥光感受器中作为谷氨酸门控的Cl?通道发挥作用。
SYSY呈现了在神经科学领域中最广泛使用的SYSY一抗系列,直接与匹配的abberior STAR染料偶联,经过优化以适用于STED显微镜。
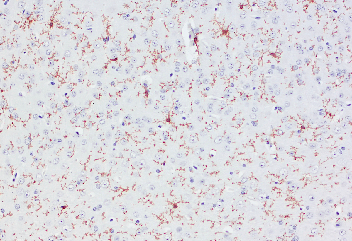
SYSY 开发了一种高度特异性的小鼠抗P2Y12单克隆抗体(货号476 011),其提供了优越的信号噪音比,并可稀释至1:10,000。该抗体适用于各种组织制备方法,包括石蜡包埋组织(FFPE,IHC-P)(图1),标准PFA固定组织(IHC)以及在甲醇后固定后的新鲜冰冻组织(IHC-Fr)(图2)
Synaptic Systems?品牌的anti-m7G-cap mouse monoclonal antibody(货号:SYS-201-011)用于检测mRNA的帽子结构,以及其他用于分子生物学和生物化学实验的常规试剂。
谷氨酸脱羧酶GAD1是中枢神经系统中的主要抑制性神经递质,艾美捷为您推荐广受科研用户喜爱得谷氨酸脱羧酶抗体,超高性价比,高品质和售后支持。
c-Fos抗体在神经科学研究中扮演着重要的角色,可以帮助研究人员了解神经元活动和信号转导的调控机制。选择适合的c-Fos抗体是确保研究结果准确可靠的关键一步。
Synaptic Systems 提供针对突触囊泡蛋白管腔表位的独特抗体组合,适用于回收囊泡的活性依赖性标记。一组不同的荧光团偶联物可满足您的确切需求。
艾美捷为您推荐这个纵横Nature, Cell等顶级期刊的德国品牌SySy(Synaptic Systems),它有诸多C-FOS抗体可供选择,包括不同宿主的单克隆或者多克隆抗体。
微信扫码在线客服